ビメンチンの秘密と健康への影響

目次
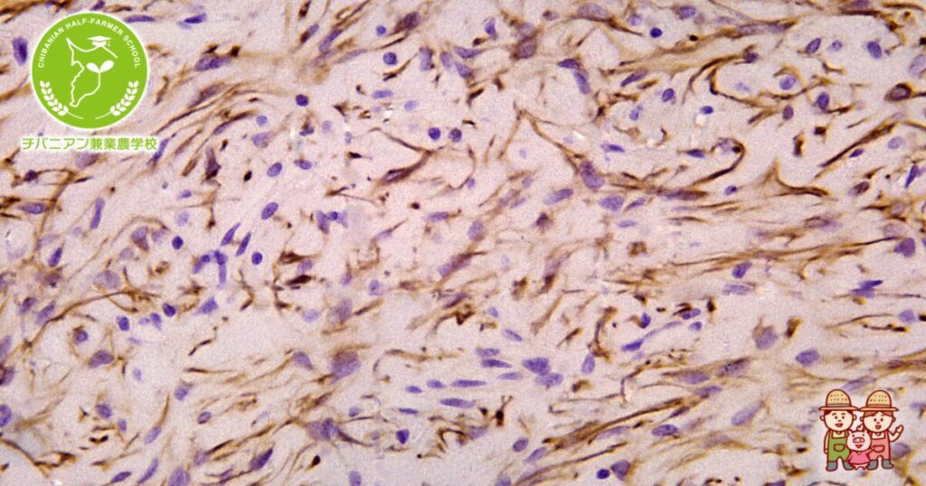
ビメンチンとは何か
ビメンチンは、私たちの身体を構成する細胞に存在する間質フィラメントの一種です。これらのフィラメントは細胞の構造を保ち、機械的な強度を与える役割を担っています。他の間質フィラメント同様に、ビメンチンも細胞の応力に対して抵抗力を持つことから、細胞の形状を維持する上で重要な要素となっているのです。
ビメンチンの基礎知識
ビメンチンは、特にメカニカルストレスの大きい細胞に多く発現し、細胞の構造を支えるほか、様々な細胞間シグナルの伝達にも影響を及ぼしています。主にメソデルム由来の細胞、例えば筋組織や血管内皮細胞に豊富に見られ、また癌細胞の浸潤や転移にも関わっていることが知られています。ビメンチンの分子構造はアルファヘリカルなロッドドメインからなり、両端にあるヘッドとテールドメインによって他のフィラメントや細胞骨格の構成要素と結びついています。
ビメンチンの生物学的役割
ビメンチンが細胞に与える影響は多岐にわたります。細胞の機械的性質はもちろんのこと、細胞の移動、増殖、分化にも大きく関深く影響しています。傷の治癒プロセスでは、ビメンチンは細胞間の連携や修復組織の再構築を助ける役割を果たします。また、ビメンチンが機能しないことによる病態も報告されており、例えばビメンチンの変異は特定の組織における機能障害や転移性癌の進行に関連があります。そのため、ビメンチンは病気の診断や治療の新しいターゲットとしても注目されているのです。
ビメンチンの発見史
ビメンチンが初めて同定されたのは20世紀後半のことで、その後、細胞生物学の分野でその重要性が徐々に認識されてきました。当初は特定の細胞種特有の間質フィラメントとして考えられていましたが、研究が進むにつれてその普遍的な存在と役割が明らかになってきました。ビメンチンが関与している細胞運動やシグナル伝達のメカニズムは現在も研究の進行中であり、新しい発見が未来の医学に大きな影響を与える可能性を秘めています。
ビメンチン関連の健康問題
身体のさまざまな細胞に存在するビメンチンは、細胞の構造を保持する重要な役割を担っています。このビメンチンの異常は、健康問題に直結することがあるのです。疾患の発生や進行にどのように関与するか、また、その治療法や予防策は現在も研究が進められています。
ビメンチンの異常が引き起こす疾患
ビメンチンは細胞骨格の一部であり、その異常は細胞機能の障害に直接結びつきます。例えば、神経疾患の一つにビメンチンの過剰な表現が確認されており、その結果、神経細胞が本来の機能を果たせなくなる症例が報告されています。また、特定の筋疾患ではビメンチンが不足することで、筋細胞の強度が低下し、筋力の衰えや筋肉の変性を引き起こすことが知られています。肺疾患においてもビメンチンの重要性が認識されており、正常なビメンチンの働きが障害されることで、肺の線維化などの深刻な健康問題に繋がることが分かってきました。
ビメンチン関連の遺伝子変異
遺伝子変異がビメンチンの機能に影響を及ぼすことにより、遺伝的な疾患が発生する可能性があります。ビメンチンをコードする遺伝子に変異が生じると、ビメンチンの形成が不完全になり、それがさまざまな細胞異常を招くのです。これらの遺伝子変異は家族歴を通じて受け継がれることもあり、特定の疾患のリスクが高まることも知られています。最新の遺伝子編集技術を駆使した治療法の開発が進められており、将来的には遺伝子変異を直接修正することで、これらの疾患を根本から治療できる可能性が期待されています。
ビメンチンとがんの関係性
がん細胞の悪性化においてビメンチンが果たす役割に注目が集まっています。ビメンチンはがん細胞の侵略性や転移能力を向上させることがあるとの研究結果が多数報告されており、がんの診断や治療の標的としての可能性も検討されています。ビメンチンを抑制することで、がん細胞の伸展性を低下させ、転移を防ぐ新たな治療法の開発が進められています。また、ビメンチンの異常な表現パターンを早期に検出することで、がんの初期発見に役立てる研究も行われているのです。医療分野では、ビメンチンを分子マーカーとして活用することで、より効果的ながん治療への道を切り開いていきます。
ビメンチンの研究最前線
近年、病気の治療法や生物学的な理解を深める上で、ビメンチンの研究が非常に重要なる位置を占めてきています。このタンパク質は、細胞の骨格を構成する成分の1つとして知られ、多くの臨床的応用の可能性を秘めているのです。
ビメンチンの研究による新たな治療法
ビメンチンの研究が進む中で、様々な病態との関連が明らかになってきました。例えば、がん治療においてビメンチンの発現を抑制することで、転移の抑止や増殖の遅延が期待されてます。また、特定の自己免疫疾患においても、ビメンチンが免疫応答に関与していることが指摘され、治療標的としての研究が活発に行われているのです。
このような研究の進展は、将来的にビメンチンをサイトカインや化学療法と組み合わせることで、より効率的な治療法へと導く可能性があります。
ビメンチンの役割理解の進展状況
ビメンチンは、細胞性の応力に対する反応や傷害修復プロセスに関わる重要なタンパク質であり、その機能を理解することが多くの病態の解明に繋がります。近年の研究では、ビメンチンが細胞内のシグナル伝達にも関わっていることが示され、その複雑な役割が徐々に解明されてきています。
たとえば、炎症反応とビメンチンの関連性が注目され、炎症を引き起こす細胞の活動を制御する新たな治療標的となることが期待されています。さらに、ビメンチンは細胞の動きや形態にも影響を与えるため、組織再生医療における応用可能性も探り始めればれているのです。
ビメンチンを対象とする臨床試験
臨床においてビメンチンの潜在的な影響を検討する試験が増加しています。がんの分野では、ビメンチンをターゲットとした免疫療法やターゲット療法が開発され、一部は臨床試験の段階に達しています。これらの治療法では、ビメンチンのレベルを下げたり、特定のビメンチンと結合する薬剤を用いることで、がん細胞の成長を抑え、転移を阻止しまう効果が期待されております。
さらに、ビメンチンの変異が関与する遺伝性の疾患に対しても、遺伝子編集技術を用いた臨床試験が進行中で、新しい治療法の開発に大きな希望を与えているのです。
ビメンチンを含む製品と応用
現代の医療やバイオテクノロジーの進歩は目を見張るものがあります。その中でも、ビメンチンを利用した製品や技術は、私たちの生活に静かな革命を起こしているといっても過言ではありません。特に、医療分野におけるその応用は、治療法の向上に大きく寄与しています。
ビメンチンを含む医薬品の紹介
ビメンチンを含む医薬品は、さまざまな病気の治療において重要な役割を担っています。例えば、糖尿病の治療薬においては、ビメンチン含有成分はインスリンの感受性を高める効果があるとされています。これにより、血糖値の管理をより効率的に行うことができるようになります。また、一部の神経疾患に対する治療薬としても、ビメンチンは用いられております。神経保護作用を有することから、神経細胞の損傷進行を遅らせることによって、症状の進行を緩やかにすることが期待されています。その他にも、抗がん剤などの副作用軽減剤としても応用されており、患者さんのQOL(QualityofLife)の向上に寄与しているのです。
ビメンチン応用のバイオテクノロジー
ビメンチンがバイオテクノロジー分野で注目される理由のひとつは、その特異的な性質にあります。ビメンチンを利用した細胞骨格の改変は、生物学的な機能の最適化につながるため、研究者たちはこの分子を使って細胞の特性を操ることができるのです。例えば、培養細胞におけるタンパク質の生産性を高めるためにビメンチンを加えることで、医療用タンパク質の大量生産が現実的になってきています。さらに、組織工学においても、ビメンチンは組織の再生や修復を助ける役割を担っており、再生医療への応用が積極的に研究されている領域の一つです。ビメンチンのこれらの利用は、将来、医療の質を大きく向上させる可能性を秘めているのです。
ビメンチンの商業的利用
ビメンチンの商業的利用は、医薬品分野だけにとどまらず、幅広い産業で見られます。特に、化粧品業界では、ビメンチンが持つ細胞保護作用を利用し、エイジングケア製品の有効成分として使用されています。また、農業分野では、ビメンチンの物理的特性を活かして植物の成長を促進する研究も進んでおり、これからの食料生産に革命をもたらすかもしれません。工業分野においてもビメンチンは有用で、材料の耐久性を向上させるための研究が行われています。これらの商業的応用は、ビメンチンの多様な可能性を示しており、今後の発展が期待される領域でしょう。
ビメンチンと生活習慣
現代社会における健康維持は、多忙な日常の中でも重要視されるテーマの一つです。とりわけ、ビメンチンという成分に着目した生活習慣が注目を集めています。ビメンチンは体内で生じる活性化された構造であり、我々の健康状態に直接、間接的な影響を及ぼすことが知られています。バランス良い生活には、ビメンチンの理解と適正な管理が求められています。
ビメンチンの健康への影響
ビメンチンは体内の多様な生理活動に関与しており、そのバランスが健康に対して重要な役割を果たします。例えば、免疫機能やホルモンバランスの調和に影響を及ぼし、また酸化ストレスから細胞を保護する働きがあります。さらに、不適切なライフスタイルやストレス、不健康な食習慣などがビメンチンの過剰な活性化を招き、体調不良や慢性的な疲れの原因となることもあります。従って、ビメンチンのコントロールが健康管理において重要であり、日々の生活習慣が直接的に関わっているのです。
ビメンチンを意識した生活習慣の提案
ビメンチンを意識した生活習慣を実践することで、健康の最適化を目指すことが可能です。具体的な方法としては、定期的な運動を取り入れ、睡眠時間を確保し、ストレスを適切に管理することが挙げられます。また、食生活では、ビメンチンを促進または抑制する食品を意識して摂取することも大切です。これらを通じて、ビメンチンのバランスを整えることが、全体的な健康維持に繋がります。日々の小さな積み重ねが、長期的な健康を支えていくことになるでしょう。
ビメンチンを促進/抑制する食品
ビメンチンの活性を適正に保つためには、食品選びが鍵となります。通常、抗酸化作用を持つ食品はビメンチンを抑制し、体内のバランスを保つのに役立ちます。例えば、青魚に多く含まれるオメガ3脂肪酸や、野菜類に含まれるビタミンC及びEは抗酸化物質として知られています。これらを意識して取り入れることで、ビメンチンの過剰な活性を抑え、健康的な体を維持するのに寄与します。他方で、過剰な糖質や脂質の摂取はビメンチンの活性化を促す可能性があり、注意が必要です。食生活の改善を通じて、ビメンチンのバランスを整え、健康をサポートしていきましょう。
ビメンチンの関連する社会的課題
ビメンチンは、最先端の研究において注目される分子であります。その潜在能力は社会に多大な影響を与える可能性があるため、関連する社会的課題について真摯に考察する必要があります。安全性や透明性の重要性が高まっている昨今、ビメンチンも例外ではありません。これによって新たな倫理的な問題が浮き彫りになり、社会全体への影響を十分に把握することが求められています。
ビメンチン研究の倫理的側面
ビメンチンについての研究は、科学の進歩とともに倫理的な問題を数多く引き起こしてきました。その応用範囲の広さと、それに伴う影響力は、倫理的なガイドラインの不在が何をもたらすかを示唆しています。たとえば、ビメンチンを利用した治療が可能になった場合、誰がその治療を受けられるのか、どのような承認を経て施されるべきなのか、といった問題があります。また、データの取扱いやプライバシーの保護など、研究の過程で生じうる倫理的なジレンマは決して少なくありません。私たちは、これらの問題に対して透明性のある議論を展開し、国際的な倫理基準を構築していく必要があるのです。
ビメンチンに関連する医療費用と経済
ビメンチンの医療への応用は、多くの希望をもたらす一方で、医療費用と経済においては大きな課題でもあります。開発コストの増加や治療法としての導入に必要な費用の高さは、国家や個人の経済状況に重大な影響を及ぼす可能性があります。特に、全ての患者に平等な治療の機会が与えられるべきという考え方と、現実の医療費用とのギャップは、社会的な格差をさらに拡大する恐れがあるのです。したがって、ビメンチン研究を進めるにあたっては、こうした経済的側面も視野に入れ、持続可能な医療システムの構築を目指していかなければなりません。
ビメンチン研究の国際的な動向
近年、ビメンチン研究は国際的にも盛んになっており、多くの国々がその可能性に注目しています。こうした動きは、国際協力と競争を同時に生み出すことになり、研究の加速とともに、国際間の知識や技術の格差が明らかになってきました。多国籍企業や研究機関が連携することによって、ビメンチン関連技術の革新は進むでしょうが、同時に、国ごとの規制や標準に対する合意形成が非常に重要になります。ビメンチン研究の国際的な動向は、新しい治療法や製品開発へとつながるでしょうが、それには国際社会が一体となって取り組む姿勢が不可欠です。
ビメンチンに関するQ&Aセクション
新しく注目されている化合物「ビメンチン」について、皆さんが持っている疑問や誤解に答える形でQ&Aセクションをご提供いたします。ビメンチンの使用目的から安全性、効果について、等々、より深くご理解いただけるような情報を取り揃えております。専門家の見識も交えながら、この貴重な資源について掘り下げていきます。
よくある質問とその回答
ビメンチンに対して皆さんがよくお持ちの質問に、余すことなく答えていきます。例えば、ビメンチンの主な用途は何か、副作用は存在するのか、どのようにして摂取するのが最適なのか、といった問いに対して、わかりやすい解説を心掛けています。ビメンチンの効能や使用上の注意点についても詳細に解説し、あなたの知識を豊かにしていきます。
ビメンチンについての誤解を解く
ビメンチンにまつわる誤解や間違った情報は意外と多く、これらによって、ビメンチンの真の価値が見過ごされがちです。そこで、一般に流布されているビメンチンの誤っている使用法や、誇張された効果に関する訂正を含め、正確な情報をお伝えするために、具体的な研究データや専門家の意見を基に解説します。このセクションでは、事実と根拠に基づいた情報を提供し、ビメンチンをめぐる誤解を明確に解き明かしていきます。
専門家によるビメンチンの解説
ビメンチンに関して深い理解を求めている方のために、専門家による詳細な解説を行います。化学構造から生物学的作用機構まで、ビメンチンに関する洞察を深めることができるような内容を供します。最新の研究成果や臨床試験の結果を引き合いに出しながら、ビメンチンの可能性と限界についても、科学的見地から述べていきます。このセクションを通じて、専門的な知識とその応用について学ぶことができるでしょう。
ビメンチン研究の未来展望
近年、生体高分子研究のフロンティアとして、ビメンチンに関する研究が世界中で盛んになってきています。ビメンチンは細胞の骨格成分の一つで、その機能解明や新たな応用に向けた動きは、生命科学はもちろん、医療・工学分野においても大きな期待が寄せられているのです。
ビメンチン研究の新しい波
ビメンチンが細胞内で果たす役割についての研究は、日々進化しています。具体的には、細胞の構造維持だけでなく、シグナル伝達や遺伝子発現の調節においても重要な機能を担うことが明らかになってきました。最新の研究では、ビメンチンが細胞の老化やがんの進行にも関与している可能性が指摘されており、既存の理解を更新しかねない新たな知見が期待されているのです。
次世代のビメンチン応用技術
現在、ビメンチンの特性を利用した応用技術の開発が進められています。これらは、再生医療やドラッグデリバリーシステム(DDS)など、既存の治療法を大きく変革する可能性を秘めています。ビメンチン特有の物理的性質や生物学的機能を応用することで、より効果的で安全な治療手法の開発が進むと考えられており、医療分野におけるビメンチンの役割はこれからさらに拡大していくでしょう。
ビメンチン研究のチャレンジと可能性
ビメンチン研究がもたらす可能性は無限大ですが、それを実現する道のりには多くのチャレンジが存在します。例えば、ビメンチンとさまざまな細胞間相互作用の解析は、まだまだ理解の途上にある点が多く、高度な技術と集積したデータが求められるでしょう。一方で、その複雑さが新しい知見をもたらしているのも事実であり、基礎研究から応用研究に至るまで、ビメンチンの秘めたる可能性を解き明かすための研究は、まだまだ拡がっていくあるのです。
<





